upper lip tie child
Web Global Pediatric Health notes that lip ties occur when the frenulum the soft tissue that attaches the upper lip to the upper gum interferes with feeding. It is most often recognized due to breastfeeding issues.
Baby Lip Tie What It Is And How To Correct It Babycenter
3575 W Deer Valley Rd Glendale Arizona 85308.
. In short a lip tie is when the upper lip is attached to the upper gums. Web Also known as a maxillary lip tie an upper lip tie can be painful for babies. This struggle with nursing can often lead to a premature end to the.
Web The upper lip tie can cause speech problems for children who are learning to talk. The tissue in this case is called the. There are a lot of complications with the child having lip tie.
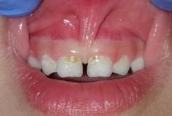
Babies with an upper lip tie need special care during their first year of life. If your baby has an upper lip tie and tongue tie they should be treated simultaneously. Web Lip tie is a condition where the upper lip is connected to the gums of the upper jaw with a tissue called the frenulum.
Web Tongue Tie Kids is a wholly owned subsidiary of Agave Pediatrics 2021 by Agave Pediatrics. Difficulty in latching on to. Web Related to tongue tie and its posterior hidden variant which may cause problems with breast-feeding upper lip tie is when the upper lip is tethered to the.
Web The upper lip tie may contribute to reflux due to an intake of air stemming from a poor oral seal during feeds. Web Some medical professionals have argued that a lip tie can put children at greater risk for cavities because bacteria can build up in the area behind the upper lip. Web A lip tie occurs when a piece of skin behind a babys upper lip is too tight or too thick limiting the upper lips movement.
Web This condition is called a lip tie. Web The tongue or lip tie symptoms in the infant include. Frequent spitting or reflux.
Web The surgical process for the reversal of upper lip tie is actually quick and easy for the child. A lip-tie or labial frenulum formed while your baby was still developing in the. Our lip-tie specialist in Tampa suggests that we flip.
Web A lip tie is a condition where the skin of the upper lip is attached to the gums in a way that prevents lip movement and makes breastfeeding difficult for your baby. The dental practitioner will explain the procedure to your child and start a movie or other. Web When the baby suckles less tissue painful nursing is also a result.
Web These pieces of soft tissue give stability to an infants upper lip lower lip and tongue. Likewise it can cause functional problems and oral health issues in a childs mouth if left untreated. Web While many pediatric doctors and dentists are familiar with tongue-tie lip-tie can hide beneath the upper lip in plain sight.
One sign not always present is a callus on babys upper lip directly at midline. Web The most common problem with upper lip tie is difficulty in breastfeeding.
How Can An Upper Lip Tie Cause Feeding Challenges Tampa Tongue Tie Center
Lip Tie In Babies And Toddlers Treatments And Symptoms
Tongue Ties Lip Ties Frenectomies Oh My Dr Jen Fountain Ddsdr Jen Fountain Dds
Tie Gallery Advocates For Tongue Tie Education
The Tongue Lip Tie Guide Part I Rachel Kirson Slp
Does Tongue Tie Cause Mouth Breathing In Children Dr Rosalba Courtney
Lip Tongue Ties Virginia Va Doctor Craniofacial Pain And Dental Sleep Center Of Virginia
Tongue Tie Before And After Photos
Tongue Tie Lip Tie Symptoms Treatment Therapyworks
Watch Their Mouth A Guide To Tongue Tie And Lip Tie
Toddler Top Lip Tied Should I Do Something About This Just Noticed It R Mommit
Lip Tie In Children Causes Symptoms Treatment
What Is A Lip Tie Infant Laser Dentistry
Tongue Ties Lip Ties Frenectomies Oh My Dr Jen Fountain Ddsdr Jen Fountain Dds
After Laser Frenectomy Infants Frisco Kid S Dentistry
An In Depth Look At The Harmful Effects Of Lip Tie Effortless Sleep Now
Tongue Tie What It Is And How It S Treated
Discovering And Correcting Lip Tie On A Toddler And An Infant
